Soins dentaires

soins dentaires pont a mousson

Comment traiter le déchaussement des dents ?

soins dentaires pont a mousson

Il n’existe pas un traitement unique car il n’existe pas qu’une seule forme de maladie parodontale.

Les maladies parodontales ou « déchaussement des dents » représentent la principale cause de la perte des dents chez l’adulte. Mais ce n’est pas une fatalité.

Le déchaussement débute en surface par la gencive et se poursuit en profondeur au niveau des tissus qui soutiennent les dents.

Sans traitement il aboutit à la perte des dents. 

Dans touts les cas il faudra :

Les antécédents familiaux de parodontale, stress, tabac et état général ont leur importance.

Pourquoi dévitaliser une dent ?

Une dent doit être dévitalisée lorsqu’une carie trop profonde ou une fracture atteint la pulpe ou « nerf de la dent ».

Dévitaliser, permet également de soigner l’infection d’une dent dont la carie n’a pas été soignée à temps.

Soins dentaires pont à mousson

Une dent comporte une ou plusieurs racines.

Chaque racine possède le plus souvent un seul canal.

Le canal protège la pulpe appelée « nerf ».

C’est en réalité un système de vaisseaux sanguins et de nerfs.

Soins dentaires pont à mousson

Lorsque le nerf est atteint par la carie, la dent est douloureuse et c’est souvent la « rage de dents ».

Soins dentaires pont à mousson dévitalisation

Eliminer la pulpe contenue dans les canaux représente le seul moyen de soulager la douleur.

Chaque canal est nettoyé, désinfecté puis soigneusement séché et rebouché.

Le nerf de la dent est remplacé par un matériau étanche qui isole la dent du milieu extérieur.

La dévitalisation est une intervention délicate mais non douloureuse.

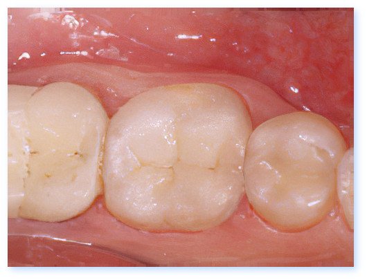
onlays et inlays ?

Ce sont des petits blocs confectionnés au laboratoire de prothèse et déstinés à traiter les caries.

Lorsqu’une dent cariée est traitée, elle peut être soignée directement au fauteuil par le Dr Alexandre ORLICK ou être reconstituée à l’aide d’un petit bloc appelé « inlay ou onlay » confectionné au laboratoire.

Cette petite pièce peut être réalisée dans différents matériaux. En métal, composite ou céramique.

Les onlays

En composite ou en céramique le résultat est satisfaisant.

Les onlays en composite durent environ 7 ans.

onlays Pont à Mousson

Les inlays

Les inlays métalliques sont le plus souvent réalisés en or jaune, plus rarement en or blanc ou en Nickel-Chrome. Ils sont moins esthétiques mais mieux tolérés et plus étanches. Ils durent environ 15 à 20 ans.

inlay Pont à Mousson
Soins dentaires pont à mousson inlay
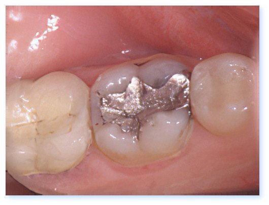
Amalgame pont à mousson
Les inlays représentent une excellente alternative à l’amalgame.
Soins dentaires pont à mousson Amalgame Couronne
Ils permettent d’obturer une dent cariée ou de remplacer d’anciens "plombages" lorsque le remplacement est réellement indiqué.
Adresse

6 place thiers
54700 PONT A MOUSSON

FRANCE

Téléphone : 03 83 81 02 44‬